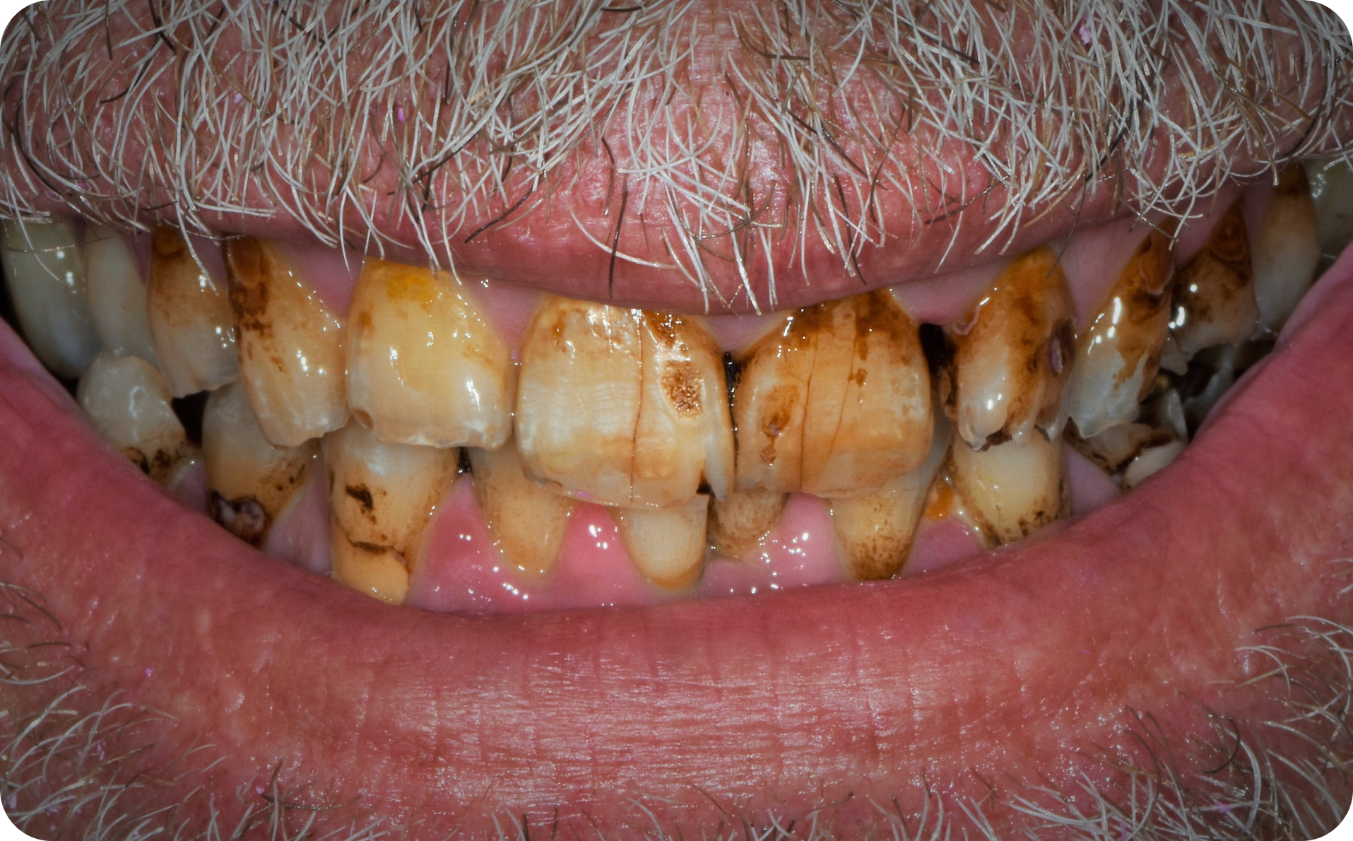
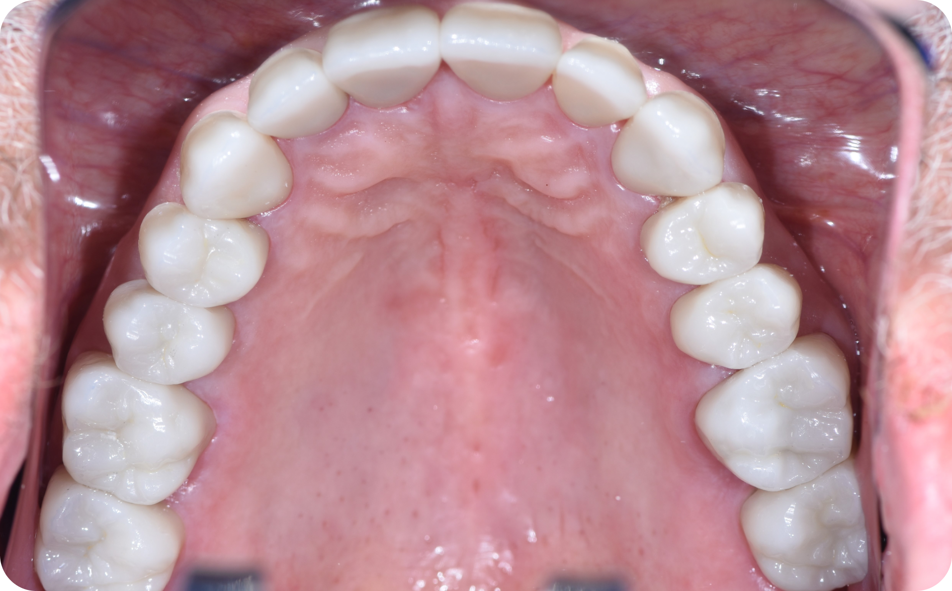
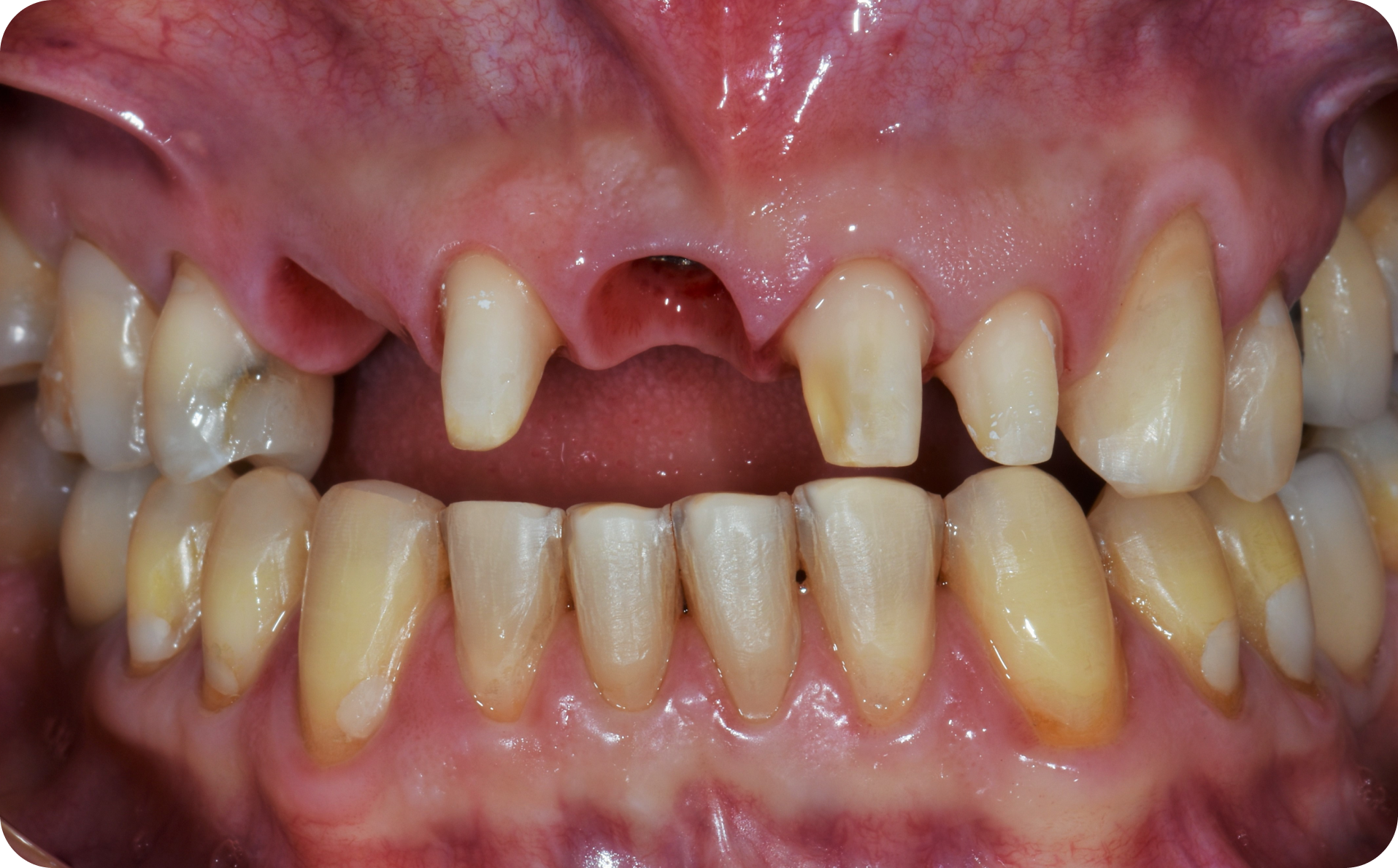
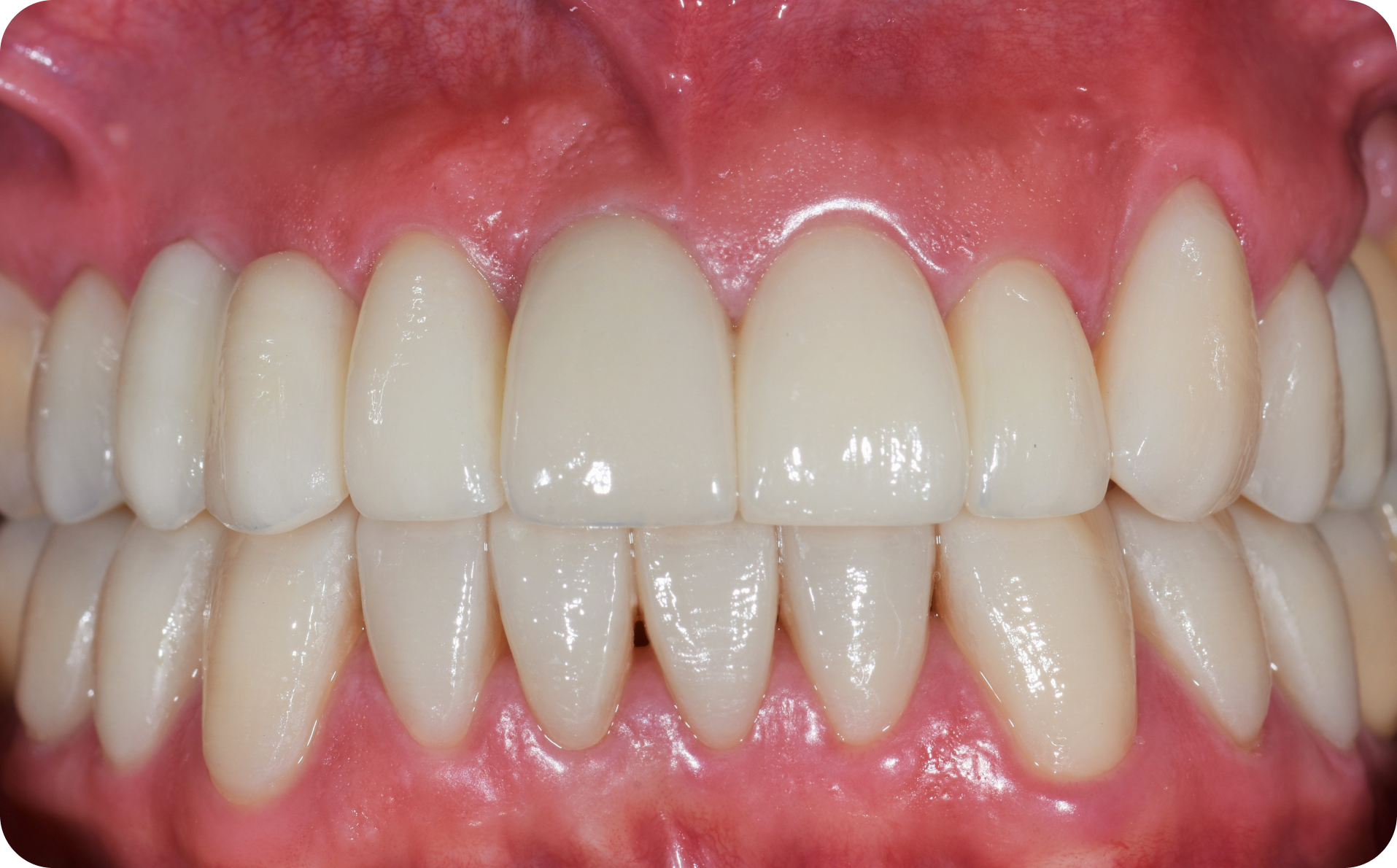
Es un procedimiento estético y funcional que mejora la forma y proporción de las encías para nivelar el contorno de los dientes, logrando una mejora considerable en tu apariencia.
El recorte de encía equilibra la proporción entre dientes y encías, creando una sonrisa más armónica y atractiva.
Al eliminar el exceso de tejido gingival, facilita una mejor higiene dental, previniendo enfermedades de encías.
Es un tratamiento mínimamente invasivo con resultados inmediatos y un tiempo de recuperación rápido.
Al mejorar la apariencia de las encías, aumenta la seguridad y autoestima, permitiendo sonreír con mayor naturalidad y confianza.
Hemos construido nuestro propio proceso para garantizar que
su tratamiento sea lo más sencillo posible.
Revisamos tu historial médico y dental, incluyendo cualquier condición de salud, tratamientos previos y hábitos que puedan influir en tu sonrisa.
Diseñamos tu sonrisa con tecnología digital para lograr armonía y funcionalidad. Simulamos los resultados antes del tratamiento y realizamos los ajustes necesarios para un resultado estético y duradero.
Te acompañamos después del tratamiento con revisiones regulares para asegurarnos de que tu sonrisa se mantenga en perfecto estado y sigas disfrutando de los resultados.












Con más de 30 años de experiencia, el Dr. Camilo Correa es especialista en rehabilitación oral, implantología y disfunciones temporomandibulares. Su trayectoria incluye estudios avanzados en Chile y Estados Unidos, con certificaciones en implantología y prótesis oseointegrada.
El Dr. Correa ha sido conferencista en congresos internacionales y cuenta con una práctica privada enfocada en tratamientos personalizados. Su enfoque innovador y su compromiso con la excelencia lo posicionan como un referente en la odontología especializada
Sus pacientes destacan su precisión, calidad en los tratamientos y un acompañamiento integral en cada caso. Si buscas un especialista con experiencia y alto nivel profesional, el Dr. Camilo Correa es la mejor opción.
Para más información o agendar una consulta, contáctenos!
Horario de atención:
Lunes a Viernes : 8am – 6pm.
Ubicación:
Torre Intermédica. 1702.
Piso 17.
Medellin Colombia.
Número de contacto:
+57 314 6417186
Torre Intermédica. 1702. Piso 17.
Medellin Colombia.
ccintermedica1702@gmail.com
+57 314 6417186
©2024 – Camilo Correa |